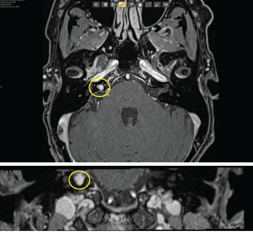
Hello friends. I haven’t posted in a while, but my (and Ella’s – now “Ace”) journey is not over, unfortunately. I had an MRI in July and it is showing some regrowth. It is small – like the size of a pea, but I need to address it. You can see it in these scans. That little white dot on the left side of the image is the regrowth. It’s definitely different than the other side. They are recommending a procedure called gamma knife.

Here is a description of what gamma knife is: This approach may be used if the acoustic neuroma is growing, with the goal of preventing further tumor growth. With stereotactic radiosurgery, a highly precise single dose of radiation is delivered to the tumor. The procedure’s success rate at stopping tumor growth is usually greater than 90%. It may increase the amount of hearing loss in the affected ear, but risk of creating new symptoms like facial weakness should be low.
I am getting second opinions and will meet with Dr’s from Colorado, Mayo Clinic and hopefully NYU.
The good news is that I am already deaf in that ear, so no worries there! I might have some side effects – including fatigue, increased headaches due to swelling, and a small chance for increased facial weakness. Overall, it’s a non-invasive, safe and effective treatment. There are two approaches to keeping your head still – both of which will require me to be heavily sedated!! I’m very claustrophobic, so bring on the meds! I am not sure when this will happen, but probably in a few weeks.

Ella (Ace) also continues to struggle. She is in treatment again and it’s awful, heartbreaking and necessary. She’s been having episodes of fainting and non-epileptic seizures (this is called Functional Neurological Disorder) along with self harm and other mental health issues.. It’s all trauma related and she needs to be somewhere that can help her with all of this. She’s like an onion and the trauma is at the core. The layers need to be stripped away and it’s not an easy process. The goal is to work on these things now before she turns 18.
The interesting thing for me is that this is a cycle we have already been through and now it is repeating again. I am trying to look at all of it from a spiritual perspective. Obviously my self care takes a back seat when my kid is struggling. I have fallen into that pattern again. I guess this is all an invitation to go deeper. As much as it sucks, I have no choice. So please send me lots of strength vs. sadness.

Leave a comment